X-ray Reference

← Back to library

radiographic finding

Mass

A larger focal opacity or lesion that may need further evaluation

Mass is an imaging term for a larger focal lesion or opacity that needs clinical and imaging context.

A mass on X-ray means there is a larger focal abnormality or density that stands out from surrounding tissue. It is a descriptive finding, not a diagnosis by itself.

Imaging patternradiographic finding
Page goalClinical-but-readable reference
Disclaimer: Educational information only. Not diagnosis, prescribing advice, or treatment guidance for an individual user.
Reference example

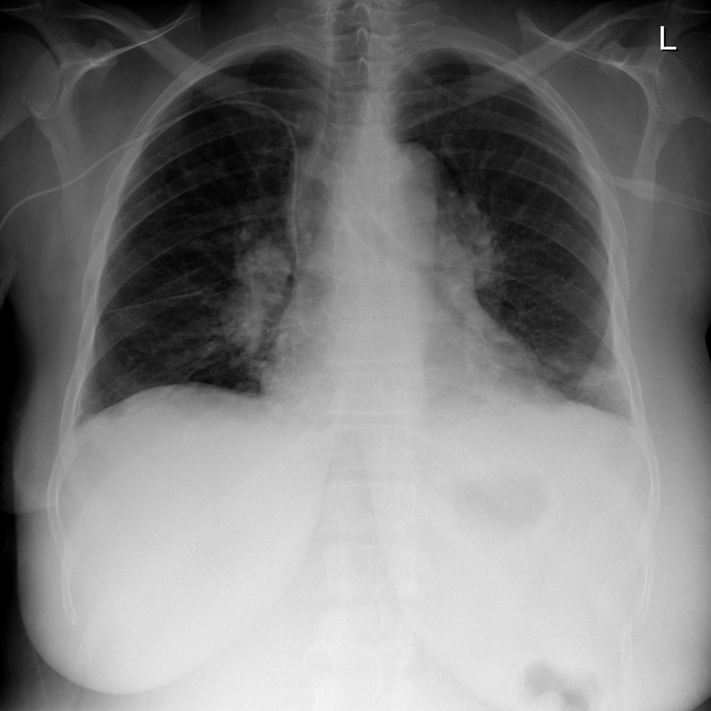
Representative X-ray

Illustrative reference image for this topic.

Mass representative X-ray

Reference image: PAT-4F3F · IMG-024 · Bounding-box highlight from source annotation where available.

What it is

  • A mass is a radiographic descriptor, not a diagnosis by itself
  • It may reflect benign or malignant causes, infection, inflammatory change, vascular structures, or overlap artifact depending on context

How it appears on chest X-ray

  • On chest X-ray, a mass often appears as a relatively well-defined focal opacity larger than a nodule
  • Shape, border, density, and location all affect interpretation

What radiologists look for

  • Radiologists assess size, margins, location, calcification pattern, associated atelectasis, pleural findings, and whether cross-sectional imaging is needed

How X-ray helps

  • Chest X-ray can identify a suspicious focal lesion and trigger further workup, but it is usually not enough to define the cause with certainty

Common causes

  • Possible causes include benign tumors, malignancy, infection, inflammatory lesions, vascular abnormalities, or overlapping anatomic structures

Symptoms / associated symptoms

  • Symptoms depend on the cause and may include cough, chest discomfort, shortness of breath, weight loss, or no symptoms at all in incidental findings

Risk factors

  • Risk factors depend on the cause and can include age, smoking history, prior cancer, chronic infection risk, and environmental exposures

Why it can matter clinically

  • A mass can matter clinically because some causes require urgent or thorough follow-up, especially when the finding is new, enlarging, or suspicious in appearance

When to seek medical care

  • If a mass is newly reported or associated with concerning symptoms, timely medical follow-up is important

Evaluation and diagnosis

  • Evaluation often includes comparison with prior imaging, CT, clinical history, and sometimes additional testing to clarify the cause

Treatment approaches

  • Treatment depends entirely on the underlying cause
  • Some masses require monitoring, while others need specialist evaluation, biopsy, or treatment

FAQ

Does a mass on X-ray mean cancer?

No. Cancer is one possibility, but not the only one. A mass is a descriptive imaging finding that needs evaluation.

Can X-ray alone tell what a mass is?

Often no. CT and clinical correlation are commonly needed.