X-ray Reference

← Back to library

radiographic finding

Pneumothorax

Air in the pleural space that can partially or fully collapse a lung

Pneumothorax refers to air in the pleural space, which can partially or fully collapse the lung.

Pneumothorax means air has collected in the space around the lung, which can make part of the lung collapse.

Imaging patternradiographic finding
Page goalClinical-but-readable reference
Disclaimer: Educational information only. Not diagnosis, prescribing advice, or treatment guidance for an individual user.
Reference example

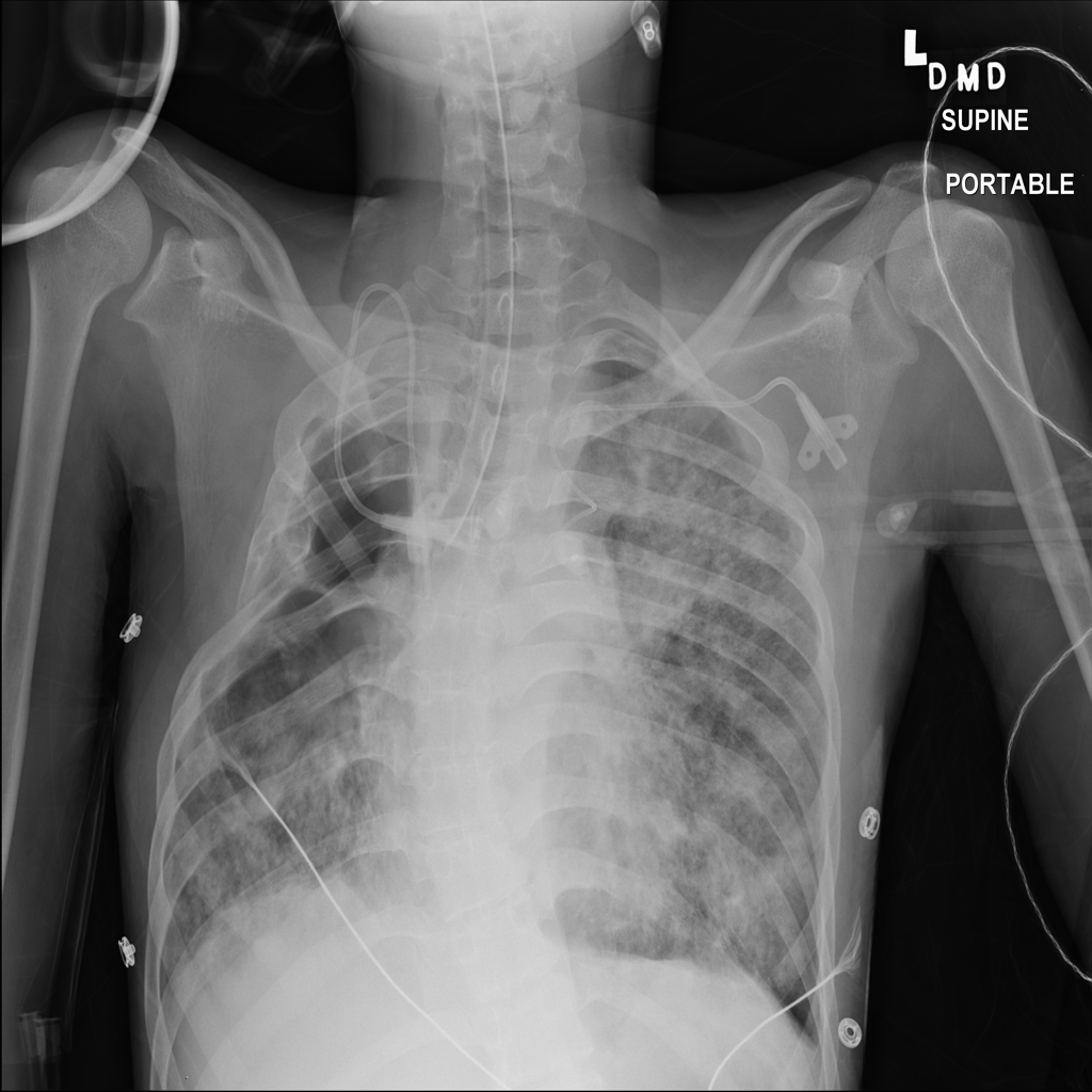
Representative X-ray

Illustrative reference image for this topic.

Pneumothorax representative X-ray

Reference image: PAT-EEB6 · IMG-029 · Bounding-box highlight from source annotation where available.

What it is

  • Pneumothorax is air in the pleural space between the lung and chest wall
  • On imaging, the key issue is separation between the lung edge and chest wall with reduced or absent normal lung markings beyond the pleural line

How it appears on chest X-ray

  • On chest X-ray, pneumothorax may appear as pleural air with a visible visceral pleural line and relative absence of expected lung markings beyond that line
  • Small pneumothoraces can be subtle, especially on portable or supine films

What radiologists look for

  • Radiologists look for pleural air, the visible lung margin, degree of lung collapse, and whether there are signs of pressure effects such as mediastinal shift

How X-ray helps

  • Chest X-ray can identify many pneumothoraces, estimate visible extent, and help monitor interval change after treatment
  • Small or position-dependent pneumothoraces can still be missed

Common causes

  • Possible causes include spontaneous rupture of blebs, trauma, underlying lung disease, barotrauma, and medical procedures
  • Some cases occur without an obvious trigger

Symptoms / associated symptoms

  • Common symptoms can include sudden chest pain, shortness of breath, chest tightness, rapid breathing, and sometimes minimal symptoms if the pneumothorax is small

Risk factors

  • Risk factors can include smoking, underlying lung disease, prior pneumothorax, trauma, positive-pressure ventilation, and recent invasive procedures involving the chest

Why it can matter clinically

  • Complications can include worsening lung collapse, breathing difficulty, recurrence, and in more severe cases tension physiology with hemodynamic compromise

When to seek medical care

  • Sudden chest pain, trouble breathing, worsening breathlessness, or concern for a new pneumothorax should be assessed promptly
  • Severe shortness of breath or instability needs urgent medical care

Evaluation and diagnosis

  • Evaluation may include physical exam, chest X-ray, bedside ultrasound in some settings, oxygen assessment, and follow-up imaging depending on size and symptoms

Treatment approaches

  • Management may include observation, oxygen support, needle aspiration, chest tube drainage, and follow-up imaging
  • The right approach depends on size, symptoms, stability, and cause

FAQ

Can pneumothorax be missed on an X-ray?

Yes. Small pneumothoraces can be subtle, and technique or positioning can affect visibility.

Does a similar image mean I have a collapsed lung?

No. Similar-looking reference images do not diagnose your upload.