X-ray Reference

← Back to library

radiographic finding

Pleural Effusion

Fluid in the pleural space around the lungs

Pleural effusion means fluid has collected in the pleural space around the lungs.

Pleural effusion means there is extra fluid in the space around the lungs rather than inside the lung tissue itself.

Imaging patternradiographic finding
Page goalClinical-but-readable reference
Disclaimer: Educational information only. Not diagnosis, prescribing advice, or treatment guidance for an individual user.
Reference example

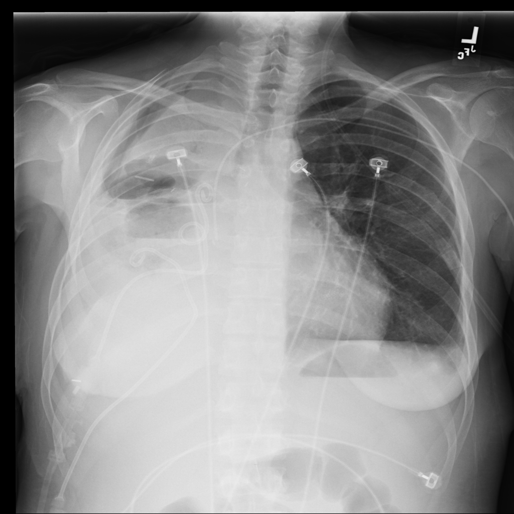
Representative X-ray

Illustrative reference image for this topic.

Pleural Effusion representative X-ray

Reference image: PAT-CF38 · IMG-012 · Bounding-box highlight from source annotation where available.

What it is

  • Pleural effusion is fluid accumulation within the pleural space
  • It is a radiographic finding with many possible underlying causes rather than a single diagnosis by itself

How it appears on chest X-ray

  • On chest X-ray, pleural effusion may appear as blunting of the costophrenic angle, a meniscus-shaped opacity, layering fluid, or broader dependent hazy opacity depending on patient position and volume

What radiologists look for

  • Radiologists look for costophrenic angle blunting, meniscus sign, layering fluid, associated atelectatic change, and whether the effusion is unilateral, bilateral, or large enough to shift adjacent structures

How X-ray helps

  • Chest X-ray can show the presence, laterality, and approximate visual extent of pleural fluid, although ultrasound can be more sensitive for smaller effusions

Common causes

  • Common causes include heart failure, infection, malignancy, inflammation, renal disease, liver disease, and postoperative or traumatic states

Symptoms / associated symptoms

  • Symptoms can include shortness of breath, chest discomfort, cough, or no symptoms at all if the effusion is small

Risk factors

  • Risk depends on underlying disease
  • Heart failure, pneumonia, cancer, recent surgery, inflammatory disease, and systemic illness can all increase the chance of pleural fluid

Why it can matter clinically

  • Larger effusions can worsen breathing, compress adjacent lung, or be associated with infection or other serious underlying illness

When to seek medical care

  • New shortness of breath, chest discomfort, fever with pleural fluid, or concern for worsening breathing warrants clinical assessment

Evaluation and diagnosis

  • Evaluation may include chest X-ray, ultrasound, CT in selected cases, and sometimes fluid sampling to clarify the cause

Treatment approaches

  • Management depends on cause and severity
  • Observation, treatment of the underlying condition, drainage procedures, and follow-up imaging may all be relevant

FAQ

Is pleural effusion the same thing as pneumonia?

No. Pleural effusion is fluid around the lung, while pneumonia is infection within lung tissue.

Can X-ray alone tell what caused a pleural effusion?

No. Imaging can suggest the finding, but the cause often needs clinical and sometimes laboratory evaluation.