X-ray Reference
Reference library

NIH Chest X-ray Reference Library

Browse reference chest X-rays from a curated NIH-derived subset, inspect represented labels, and jump into deeper reading where topic pages exist.

Source: Images in this library come from the NIH Chest X-ray dataset. Use the library to browse patterns and examples — not as a diagnostic tool.

Atelectasis

Atelectasis means part of the lung is not fully expanded. It can happen from shallow breathing, mucus blockage, or pressure around the lung and is not the same thing as an infection by itself.

Cardiomegaly

Cardiomegaly means the heart appears enlarged on the chest X-ray. It is a descriptive imaging finding that can be related to heart strain, chronic pressure or volume changes, or even projection effects.

Consolidation

Consolidation refers to air-space filling that makes part of the lung appear denser on imaging.

COPD / Emphysema

COPD and emphysema are chronic lung diseases that can change chest X-ray appearance but are not diagnosed by X-ray alone.

Fracture

Fracture is a break or structural disruption in bone that may be obvious or subtle on X-ray.

Image samples not available yetOpen topic page

Heart Failure

Heart failure is a clinical syndrome in which the heart cannot pump or fill effectively enough to meet the body’s needs.

Image samples not available yetOpen topic page

Lung Opacity

Lung opacity is a broad imaging term for an area of increased density in the lung.

Image samples not available yetOpen topic page

Mass

A mass is a larger focal opacity or lesion seen on the image. It is a descriptive finding that can have several causes and usually needs more imaging or clinical context to characterize.

Nodule

A nodule is a small rounded opacity in the lung or chest field. It is a descriptive imaging finding that can be benign or more concerning depending on size, appearance, and context.

Pleural Effusion

Pleural effusion means extra fluid has collected around the lung in the pleural space. It can happen with heart problems, infection, inflammation, or other underlying conditions.

Pneumonia

Pneumonia is an infection of the lung tissue, often caused by bacteria, viruses, or less commonly fungi. On chest X-ray it can appear as focal or patchy air-space opacity, though imaging alone does not always prove the cause.

Pneumothorax

Pneumothorax means air is present outside the lung in the pleural space, which can allow part of the lung to collapse. It is an important imaging finding because the size and clinical impact can vary widely.

Pulmonary Edema

Pulmonary edema refers to fluid accumulation within the lungs, often linked to cardiac or noncardiac causes.

Image samples not available yetOpen topic page

Support Devices

Support devices on chest X-ray include lines, tubes, and implanted hardware whose position may affect safety and management.

Image samples not available yetOpen topic page

Tuberculosis

Tuberculosis is an infectious disease that can affect the lungs and create chest imaging abnormalities, but imaging alone cannot confirm it.

Image samples not available yetOpen topic page

Filter the library

Use body part and finding filters to narrow the reference set.

Body part

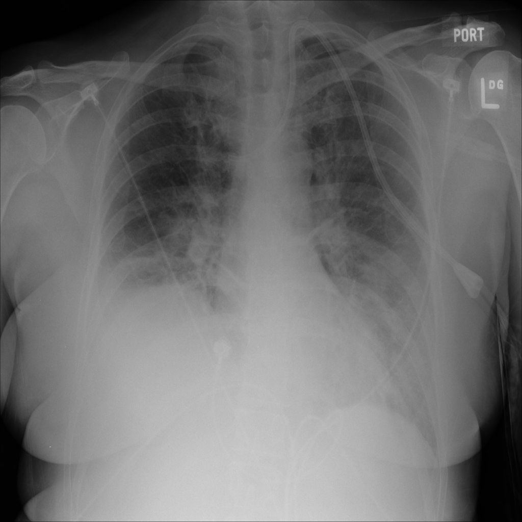
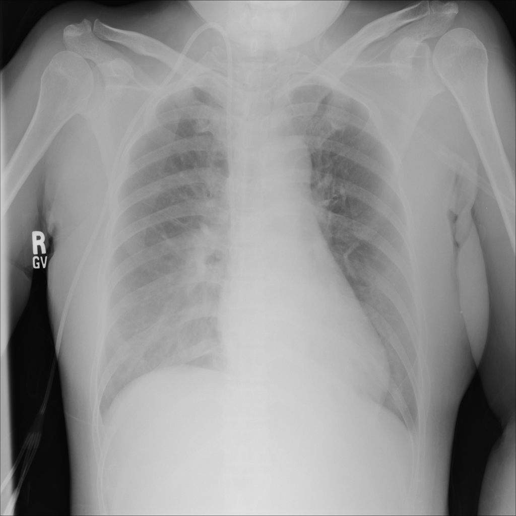
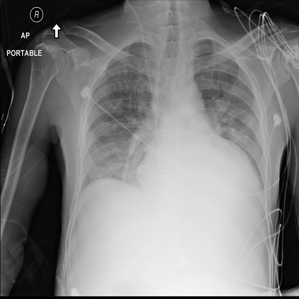
Showing up to 90 reference images for Edema.

PAT-5B86 · IMG-009Edema
PAT-5B86 · IMG-009
PA
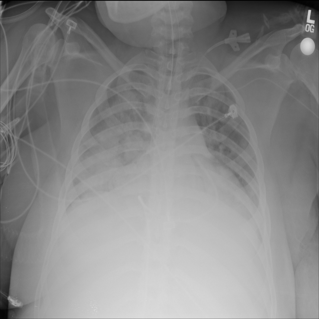
PAT-24D9 · IMG-006Edema
PAT-24D9 · IMG-006
AP
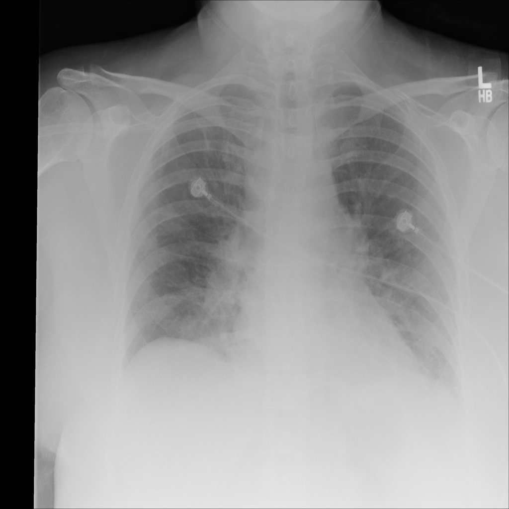
PAT-E828 · IMG-004Edema
PAT-E828 · IMG-004
AP
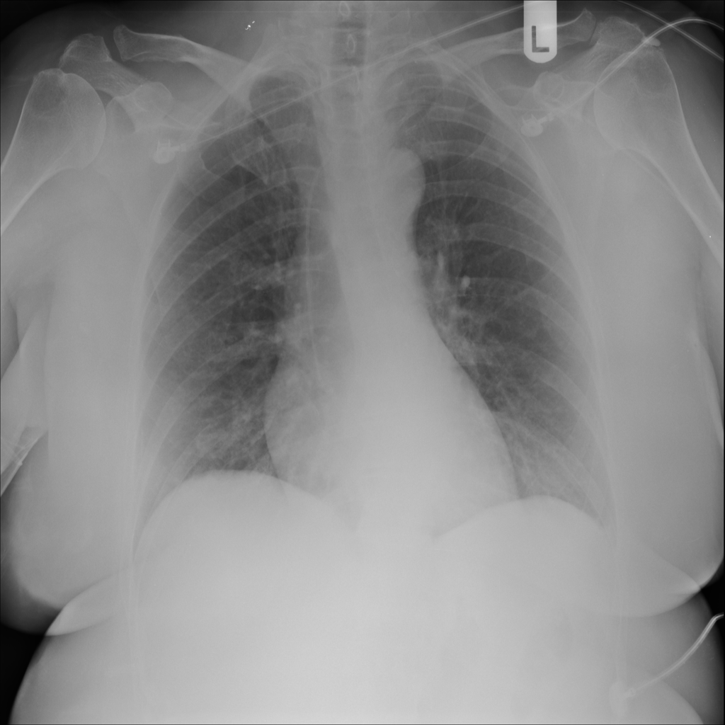
PAT-E828 · IMG-005Edema
PAT-E828 · IMG-005
AP
PAT-46FC · IMG-002Edema
PAT-46FC · IMG-002
AP
PAT-46FC · IMG-004Edema
PAT-46FC · IMG-004
AP
PAT-8DD3 · IMG-001Edema
PAT-8DD3 · IMG-001
AP
PAT-A6E0 · IMG-017Edema
PAT-A6E0 · IMG-017
AP
PAT-A6E0 · IMG-027Edema
PAT-A6E0 · IMG-027
AP
PAT-A6E0 · IMG-028Edema
PAT-A6E0 · IMG-028
AP
PAT-3BDB · IMG-005Edema
PAT-3BDB · IMG-005
AP
PAT-E321 · IMG-005Edema
PAT-E321 · IMG-005
AP
PAT-19D6 · IMG-003Edema
PAT-19D6 · IMG-003
AP
PAT-F15E · IMG-002Edema
PAT-F15E · IMG-002
PA
PAT-2CE4 · IMG-003Edema
PAT-2CE4 · IMG-003
AP
PAT-2CE4 · IMG-006Edema
PAT-2CE4 · IMG-006
AP
PAT-24A4 · IMG-000Edema
PAT-24A4 · IMG-000
AP
PAT-245B · IMG-027Edema
PAT-245B · IMG-027
AP
PAT-BDE6 · IMG-003Edema
PAT-BDE6 · IMG-003
AP
PAT-F40F · IMG-002Edema
PAT-F40F · IMG-002
AP
PAT-82BE · IMG-003Edema
PAT-82BE · IMG-003
AP
PAT-98BC · IMG-003Edema
PAT-98BC · IMG-003
AP
PAT-6E53 · IMG-008Edema
PAT-6E53 · IMG-008
AP
PAT-C557 · IMG-002Edema
PAT-C557 · IMG-002
AP
PAT-71B2 · IMG-015Edema
PAT-71B2 · IMG-015
AP
PAT-F6FF · IMG-031Edema
PAT-F6FF · IMG-031
AP
PAT-F6FF · IMG-037Edema
PAT-F6FF · IMG-037
AP
PAT-A035 · IMG-014Edema
PAT-A035 · IMG-014
AP
PAT-821B · IMG-014Edema
PAT-821B · IMG-014
AP
PAT-79BE · IMG-001Edema
PAT-79BE · IMG-001
AP
PAT-7E19 · IMG-000Edema
PAT-7E19 · IMG-000
AP
PAT-1163 · IMG-002Edema
PAT-1163 · IMG-002
AP
PAT-A0FD · IMG-025Edema
PAT-A0FD · IMG-025
AP
PAT-5576 · IMG-002Edema
PAT-5576 · IMG-002
PA
PAT-E21A · IMG-002Edema
PAT-E21A · IMG-002
AP
PAT-3578 · IMG-011Edema
PAT-3578 · IMG-011
AP
PAT-CB5C · IMG-002Edema
PAT-CB5C · IMG-002
AP
PAT-CB5C · IMG-003Edema
PAT-CB5C · IMG-003
AP
PAT-5CF6 · IMG-042Edema
PAT-5CF6 · IMG-042
AP
PAT-5CF6 · IMG-043Edema
PAT-5CF6 · IMG-043
AP
PAT-5CF6 · IMG-047Edema
PAT-5CF6 · IMG-047
AP
PAT-DA36 · IMG-031Edema
PAT-DA36 · IMG-031
AP
PAT-F08F · IMG-005Edema
PAT-F08F · IMG-005
AP
PAT-F08F · IMG-006Edema
PAT-F08F · IMG-006
AP
PAT-4A4E · IMG-012Edema
PAT-4A4E · IMG-012
AP
PAT-FE6C · IMG-004Edema
PAT-FE6C · IMG-004
AP
PAT-96AD · IMG-005Edema
PAT-96AD · IMG-005
AP
PAT-96AD · IMG-006Edema
PAT-96AD · IMG-006
AP
PAT-96AD · IMG-007Edema
PAT-96AD · IMG-007
AP
PAT-349A · IMG-000Edema
PAT-349A · IMG-000
AP
PAT-E7CC · IMG-047Edema
PAT-E7CC · IMG-047
AP
PAT-D030 · IMG-008Edema
PAT-D030 · IMG-008
AP
PAT-07BF · IMG-015Edema
PAT-07BF · IMG-015
AP
PAT-3B71 · IMG-007Edema
PAT-3B71 · IMG-007
AP
PAT-22CC · IMG-003Edema
PAT-22CC · IMG-003
PA
PAT-6FBE · IMG-000Edema
PAT-6FBE · IMG-000
AP
PAT-50E2 · IMG-001Edema
PAT-50E2 · IMG-001
AP
PAT-50E2 · IMG-002Edema
PAT-50E2 · IMG-002
AP
PAT-9F4F · IMG-007Edema
PAT-9F4F · IMG-007
AP
PAT-4EDA · IMG-003Edema
PAT-4EDA · IMG-003
AP
PAT-028F · IMG-004Edema
PAT-028F · IMG-004
AP
PAT-028F · IMG-010Edema
PAT-028F · IMG-010
AP
PAT-E88D · IMG-006Edema
PAT-E88D · IMG-006
AP
PAT-E88D · IMG-007Edema
PAT-E88D · IMG-007
AP
PAT-DF6A · IMG-051Edema
PAT-DF6A · IMG-051
AP
PAT-E4B7 · IMG-000Edema
PAT-E4B7 · IMG-000
PA
PAT-4B68 · IMG-003Edema
PAT-4B68 · IMG-003
AP
PAT-2B2F · IMG-001Edema
PAT-2B2F · IMG-001
AP
PAT-2B2F · IMG-002Edema
PAT-2B2F · IMG-002
AP
PAT-2B2F · IMG-003Edema
PAT-2B2F · IMG-003
AP
PAT-9AAD · IMG-012Edema
PAT-9AAD · IMG-012
AP
PAT-E88F · IMG-009Edema
PAT-E88F · IMG-009
AP
PAT-E88F · IMG-021Edema
PAT-E88F · IMG-021
AP
PAT-E88F · IMG-022Edema
PAT-E88F · IMG-022
AP
PAT-E7FB · IMG-025Edema
PAT-E7FB · IMG-025
AP
PAT-E7FB · IMG-026Edema
PAT-E7FB · IMG-026
AP
PAT-D517 · IMG-002Edema
PAT-D517 · IMG-002
AP
PAT-D517 · IMG-007Edema
PAT-D517 · IMG-007
PA
PAT-6BA2 · IMG-001Edema
PAT-6BA2 · IMG-001
AP
PAT-6BA2 · IMG-002Edema
PAT-6BA2 · IMG-002
AP
PAT-6CE9 · IMG-005Edema
PAT-6CE9 · IMG-005
AP
PAT-6CE9 · IMG-006Edema
PAT-6CE9 · IMG-006
AP
PAT-6CE9 · IMG-007Edema
PAT-6CE9 · IMG-007
AP
PAT-6BCD · IMG-012Edema
PAT-6BCD · IMG-012
AP
PAT-6BCD · IMG-013Edema
PAT-6BCD · IMG-013
AP
PAT-9F7F · IMG-004Edema
PAT-9F7F · IMG-004
PA
PAT-805F · IMG-005Edema
PAT-805F · IMG-005
AP
PAT-252B · IMG-013Edema
PAT-252B · IMG-013
PA
PAT-252B · IMG-014Edema
PAT-252B · IMG-014
AP
PAT-8CA1 · IMG-010Edema
PAT-8CA1 · IMG-010
AP