X-ray Reference
Reference library

NIH Chest X-ray Reference Library

Browse reference chest X-rays from a curated NIH-derived subset, inspect represented labels, and jump into deeper reading where topic pages exist.

Source: Images in this library come from the NIH Chest X-ray dataset. Use the library to browse patterns and examples — not as a diagnostic tool.

Atelectasis

Atelectasis means part of the lung is not fully expanded. It can happen from shallow breathing, mucus blockage, or pressure around the lung and is not the same thing as an infection by itself.

Cardiomegaly

Cardiomegaly means the heart appears enlarged on the chest X-ray. It is a descriptive imaging finding that can be related to heart strain, chronic pressure or volume changes, or even projection effects.

Consolidation

Consolidation refers to air-space filling that makes part of the lung appear denser on imaging.

COPD / Emphysema

COPD and emphysema are chronic lung diseases that can change chest X-ray appearance but are not diagnosed by X-ray alone.

Fracture

Fracture is a break or structural disruption in bone that may be obvious or subtle on X-ray.

Image samples not available yetOpen topic page

Heart Failure

Heart failure is a clinical syndrome in which the heart cannot pump or fill effectively enough to meet the body’s needs.

Image samples not available yetOpen topic page

Lung Opacity

Lung opacity is a broad imaging term for an area of increased density in the lung.

Image samples not available yetOpen topic page

Mass

A mass is a larger focal opacity or lesion seen on the image. It is a descriptive finding that can have several causes and usually needs more imaging or clinical context to characterize.

Nodule

A nodule is a small rounded opacity in the lung or chest field. It is a descriptive imaging finding that can be benign or more concerning depending on size, appearance, and context.

Pleural Effusion

Pleural effusion means extra fluid has collected around the lung in the pleural space. It can happen with heart problems, infection, inflammation, or other underlying conditions.

Pneumonia

Pneumonia is an infection of the lung tissue, often caused by bacteria, viruses, or less commonly fungi. On chest X-ray it can appear as focal or patchy air-space opacity, though imaging alone does not always prove the cause.

Pneumothorax

Pneumothorax means air is present outside the lung in the pleural space, which can allow part of the lung to collapse. It is an important imaging finding because the size and clinical impact can vary widely.

Pulmonary Edema

Pulmonary edema refers to fluid accumulation within the lungs, often linked to cardiac or noncardiac causes.

Image samples not available yetOpen topic page

Support Devices

Support devices on chest X-ray include lines, tubes, and implanted hardware whose position may affect safety and management.

Image samples not available yetOpen topic page

Tuberculosis

Tuberculosis is an infectious disease that can affect the lungs and create chest imaging abnormalities, but imaging alone cannot confirm it.

Image samples not available yetOpen topic page

Filter the library

Use body part and finding filters to narrow the reference set.

Body part

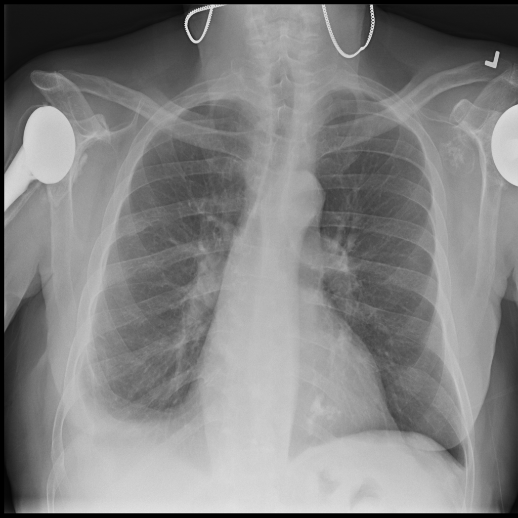
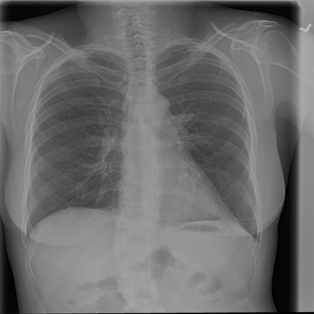
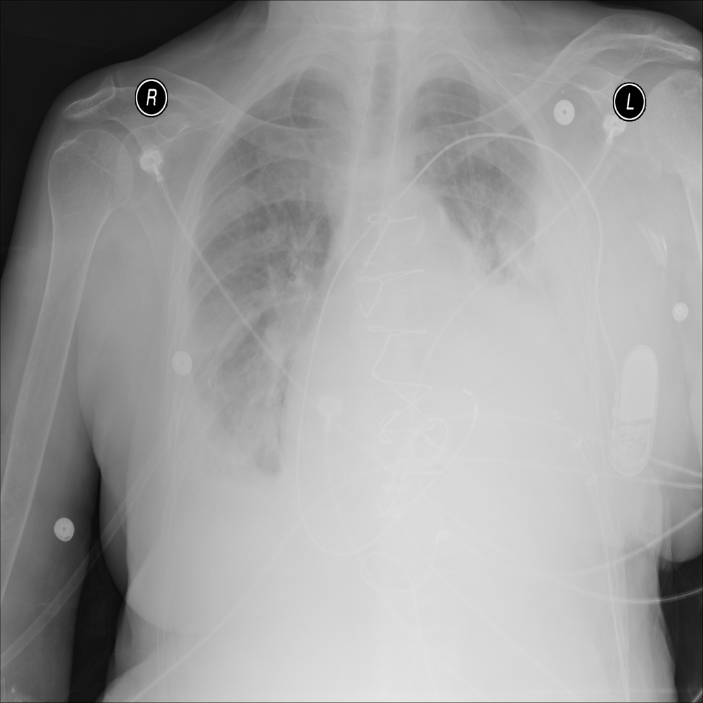
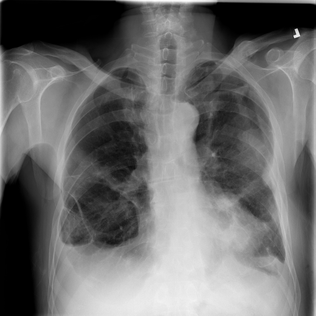
Showing up to 90 reference images for Effusion.

PAT-86C8 · IMG-000Effusion
PAT-86C8 · IMG-000
PA
PAT-4639 · IMG-021Effusion
PAT-4639 · IMG-021
PA
PAT-E81B · IMG-000Effusion
PAT-E81B · IMG-000
PA
PAT-40F9 · IMG-004Effusion
PAT-40F9 · IMG-004
PA
PAT-C051 · IMG-006Effusion
PAT-C051 · IMG-006
PA
PAT-23DE · IMG-001Effusion
PAT-23DE · IMG-001
PA
PAT-C0E5 · IMG-002Effusion
PAT-C0E5 · IMG-002
PA
PAT-C0E5 · IMG-006Effusion
PAT-C0E5 · IMG-006
AP
PAT-C0E5 · IMG-007Effusion
PAT-C0E5 · IMG-007
AP
PAT-C0E5 · IMG-008Effusion
PAT-C0E5 · IMG-008
AP
PAT-C0E5 · IMG-011Effusion
PAT-C0E5 · IMG-011
AP
PAT-50E5 · IMG-002Effusion
PAT-50E5 · IMG-002
PA
PAT-50E5 · IMG-007Effusion
PAT-50E5 · IMG-007
AP
PAT-2F67 · IMG-000Effusion
PAT-2F67 · IMG-000
PA
PAT-08D1 · IMG-000Effusion
PAT-08D1 · IMG-000
PA
PAT-EE1F · IMG-000Effusion
PAT-EE1F · IMG-000
PA
PAT-EE1F · IMG-001Effusion
PAT-EE1F · IMG-001
PA
PAT-3795 · IMG-003Effusion
PAT-3795 · IMG-003
AP
PAT-3795 · IMG-008Effusion
PAT-3795 · IMG-008
PA
PAT-988D · IMG-009Effusion
PAT-988D · IMG-009
AP
PAT-2FEB · IMG-002Effusion
PAT-2FEB · IMG-002
PA
PAT-2FEB · IMG-006Effusion
PAT-2FEB · IMG-006
PA
PAT-D3FB · IMG-002Effusion
PAT-D3FB · IMG-002
PA
PAT-D3FB · IMG-003Effusion
PAT-D3FB · IMG-003
PA
PAT-D3FB · IMG-008Effusion
PAT-D3FB · IMG-008
AP
PAT-D3FB · IMG-009Effusion
PAT-D3FB · IMG-009
PA
PAT-D3FB · IMG-012Effusion
PAT-D3FB · IMG-012
PA
PAT-736E · IMG-001Effusion
PAT-736E · IMG-001
AP
PAT-736E · IMG-002Effusion
PAT-736E · IMG-002
AP
PAT-736E · IMG-003Effusion
PAT-736E · IMG-003
AP
PAT-736E · IMG-004Effusion
PAT-736E · IMG-004
AP
PAT-736E · IMG-005Effusion
PAT-736E · IMG-005
AP
PAT-736E · IMG-006Effusion
PAT-736E · IMG-006
AP
PAT-736E · IMG-008Effusion
PAT-736E · IMG-008
AP
PAT-736E · IMG-009Effusion
PAT-736E · IMG-009
AP
PAT-736E · IMG-011Effusion
PAT-736E · IMG-011
AP
PAT-736E · IMG-020Effusion
PAT-736E · IMG-020
AP
PAT-736E · IMG-022Effusion
PAT-736E · IMG-022
AP
PAT-736E · IMG-028Effusion
PAT-736E · IMG-028
AP
PAT-736E · IMG-033Effusion
PAT-736E · IMG-033
AP
PAT-736E · IMG-036Effusion
PAT-736E · IMG-036
AP
PAT-43CF · IMG-000Effusion
PAT-43CF · IMG-000
PA
PAT-43CF · IMG-001Effusion
PAT-43CF · IMG-001
PA
PAT-B708 · IMG-015Effusion
PAT-B708 · IMG-015
PA
PAT-F079 · IMG-006Effusion
PAT-F079 · IMG-006
PA
PAT-F079 · IMG-007Effusion
PAT-F079 · IMG-007
PA
PAT-3B21 · IMG-002Effusion
PAT-3B21 · IMG-002
AP
PAT-3B21 · IMG-003Effusion
PAT-3B21 · IMG-003
AP
PAT-3B21 · IMG-004Effusion
PAT-3B21 · IMG-004
AP
PAT-3B21 · IMG-005Effusion
PAT-3B21 · IMG-005
AP
PAT-3B21 · IMG-007Effusion
PAT-3B21 · IMG-007
AP
PAT-2109 · IMG-003Effusion
PAT-2109 · IMG-003
PA
PAT-A1E2 · IMG-003Effusion
PAT-A1E2 · IMG-003
PA
PAT-4F55 · IMG-001Effusion
PAT-4F55 · IMG-001
PA
PAT-BA68 · IMG-000Effusion
PAT-BA68 · IMG-000
PA
PAT-6110 · IMG-002Effusion
PAT-6110 · IMG-002
PA
PAT-6110 · IMG-003Effusion
PAT-6110 · IMG-003
PA
PAT-E0E5 · IMG-003Effusion
PAT-E0E5 · IMG-003
AP
PAT-E0E5 · IMG-005Effusion
PAT-E0E5 · IMG-005
AP
PAT-E0E5 · IMG-019Effusion
PAT-E0E5 · IMG-019
AP
PAT-E0E5 · IMG-042Effusion
PAT-E0E5 · IMG-042
AP
PAT-E0E5 · IMG-058Effusion
PAT-E0E5 · IMG-058
AP
PAT-E0E5 · IMG-059Effusion
PAT-E0E5 · IMG-059
AP
PAT-E0E5 · IMG-060Effusion
PAT-E0E5 · IMG-060
AP
PAT-1F19 · IMG-012Effusion
PAT-1F19 · IMG-012
PA
PAT-1F19 · IMG-025Effusion
PAT-1F19 · IMG-025
AP
PAT-1F19 · IMG-026Effusion
PAT-1F19 · IMG-026
AP
PAT-1F19 · IMG-028Effusion
PAT-1F19 · IMG-028
PA
PAT-1F19 · IMG-029Effusion
PAT-1F19 · IMG-029
PA
PAT-1F19 · IMG-032Effusion
PAT-1F19 · IMG-032
PA
PAT-C429 · IMG-002Effusion
PAT-C429 · IMG-002
AP
PAT-C429 · IMG-006Effusion
PAT-C429 · IMG-006
AP
PAT-C4F1 · IMG-008Effusion
PAT-C4F1 · IMG-008
AP
PAT-3407 · IMG-013Effusion
PAT-3407 · IMG-013
PA
PAT-B7F7 · IMG-002Effusion
PAT-B7F7 · IMG-002
AP
PAT-0EB4 · IMG-012Effusion
PAT-0EB4 · IMG-012
PA
PAT-B4EC · IMG-001Effusion
PAT-B4EC · IMG-001
PA
PAT-969C · IMG-009Effusion
PAT-969C · IMG-009
AP
PAT-34DD · IMG-000Effusion
PAT-34DD · IMG-000
PA
PAT-A96D · IMG-002Effusion
PAT-A96D · IMG-002
PA
PAT-2519 · IMG-018Effusion
PAT-2519 · IMG-018
AP
PAT-CD86 · IMG-012Effusion
PAT-CD86 · IMG-012
PA
PAT-CD86 · IMG-018Effusion
PAT-CD86 · IMG-018
PA
PAT-CD86 · IMG-019Effusion
PAT-CD86 · IMG-019
PA
PAT-CD86 · IMG-032Effusion
PAT-CD86 · IMG-032
AP
PAT-504D · IMG-000Effusion
PAT-504D · IMG-000
PA
PAT-6AC8 · IMG-001Effusion
PAT-6AC8 · IMG-001
PA
PAT-6AC8 · IMG-002Effusion
PAT-6AC8 · IMG-002
AP
PAT-299B · IMG-000Effusion
PAT-299B · IMG-000
PA
PAT-9EE7 · IMG-001Effusion
PAT-9EE7 · IMG-001
PA